Kreiramo osmijehe, mijenjamo živote

Naša misija je transformisati vaše osmijehe u izvore samopouzdanja i radosti. Koristeći najnovije tehnike, naš tim stručnjaka osigurava da svaki osmijeh odražava pravu ljepotu i zdravlje. Prepustite nam brigu o vašem osmijehu i doživite promjenu koja mijenja život.

Arrow down

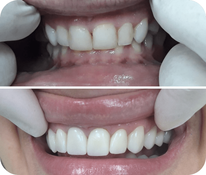
Preko 1000 divnih osmijeha

Slika zadovoljnog klijenta Bell Dente ordinacije Slika zadovoljnog klijenta Bell Dente ordinacije
Slika zadovoljnog klijenta Bell Dente ordinacije Slika zadovoljnog klijenta Bell Dente ordinacije

O nama

Ordinacija "Bell Dente" osnovana je 2013. godine s jasnom vizijom da pruži izuzetnu stomatološku njegu i tretmane koji su na najvišem nivou kvaliteta. Naša praksa se od samog početka izdvojila posvećenošću detaljima, stručnošću i individualizovanim pristupom svakom pacijentu. Sačinjava nas predani petočlani tim, koji uključuje tri doktora stomatologije i dvije stomatološke sestre, svaki od njih sa bogatim iskustvom i specijalizovanim znanjem.

Naše usluge

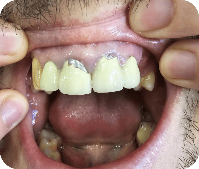
U Bell Dente pružamo kompletan spektar stomatoloških usluga, od preventivne njege do naprednih hirurških zahvata. Naš tim stručnjaka koristi najsavremeniju tehnologiju kako bi vam osigurao zdrav i blistav osmijeh. Bez obzira na vaše potrebe, posvećeni smo pružanju vrhunske njege uz maksimalan komfor.

Slika nasih usluga

Konzervativna stomatologija

Konzervativna stomatologija je grana dentalne medicine koja se bavi prevencijom, dijagnozom i liječenjem bolesti zuba s ciljem očuvanja zuba u što je moguće prirodnijem stanju. To uključuje tretmane poput popravaka zuba zahvaćenih karijesom (plombiranja), liječenja korijenskih kanala(endodoncija), te primjenu različitih tehnika i materijala za obnovu zuba kako bi se održala ili poboljšala njihova funkcija, estetika i zdravije. Konzervativna stomatologija nastoji izbjeći ekstrakciju zuba i umjesto toga koristi metode koje zubima omogućuju da ostanu u ustima i nastave normalno funkcionirati.

Slika nasih usluga

Estetska stomatologija

Estetska stomatologija je grana dentalne medicine koja se fokusira na poboljšanje izgleda zuba, usta i osmijeha. Cilj estetske stomatologije nije samo poboljšati oralno zdravlje, već i unaprijediti estetski izgled pacijentovog osmijeha kroz razne postupke poput izbjeljivanja zuba, postavljanja keramičkih faseta, krunica, mostova, ortodontskog ispravljanja nepravilnog položaja zuba, te drugih kozmetičkih zahvata. Estetska stomatologija teži postizanju prirodno lijepog osmijeha, poboljšavajući samopouzdanje i dojam koji pojedinac ostavlja na druge.

Slika nasih usluga

Oralna hirurgija

Oralna hirurgija je specijalistička grana dentalne medicine koja se bavi hirurškim zahvatima unutar usne šupljine i maksilofacijalne regije. To uključuje širok spektar postupaka, kao što su: ekstrakcija (vađenje zuba), hirurško uklanjanje umnjaka, rješavanje hroničnih infekcija iznad vrha korijena zuba (resekcija), implantologija (postavljanje zubnih implantata), dijagnostika i liječenje oralnih bolesti, rekonstrukcija i obnova oštećenih tkiva, te tretman kod fraktura viličnih i kostiju lica. Oralna hirugija usmjerena je na rješavanje kompleksnih oralnih zdravstvenih problema, koji zahtjevaju hirurški pristup za njihovo uspješno liječenje i rehabilitaciju.

Slika nasih usluga

Protetika

Protetika je grana stomatologije koja se bavi nadoknadom izgubljenih ili oštećenih zuba. Izradom odgovarajućih protetskih nadoknada cilj dentalne protetike je obnoviti funkciju žvakanja, govor i estetiku osmijeha kroz izradu i postavljanje različitih vrsta protetskih rješenja, kao što su fiksne protetske nadoknade poput krunica i mostova, te mobilne protetske nadoknade, poput totalnih i parcijalnih proteza. Implanto-protetika, kako i sama riječ kaže, podrazumijeva izradu fiksnih ili mobilnih protetskih nadoknada na implantatima. Ovaj segment stomatologije igra ključnu ulogu u poboljšanju kvaliteta života pacijenta, omogućavajući im da ponovo učinkovito žvaču, jasno govore i imaju samopouzdanje u svoj osmijeh.

Slika nasih usluga

Ortodoncija

Ortodoncija je grana stomatologije koja se bavi dijagnozom, prevencijom i liječenjem nepravilnosti zuba i vilica. Primarni cilj ortodoncije je ispravljanje nepravilnog položaja zuba i poboljšanje okluzije (odnos zuba gornje i donje vilice u zagrizu), čime se postiže bolja funkcija, estetika i zdravlje oralnog područja. Ortodontski tretmani mogu uključivati upotrebu fiksnih ili mobilnih ortodontskih aparata, kao što su bravice, žice i prozirni aligneri, koji postupno premještaju zube u željeni položaj. Ortodoncija takođe rješava probleme povezane s rastom i razvojem viličnih kostiju, te može sarađivati s drugim granama dentalne medicine, kako bi se postigao optimalan rezultat za pacijenta.

Slika nasih usluga

Preventivna stomatologija

Preventivna stomatologija je grana stomatologije usmjerena na sprječavanje nastanka oralnih bolesti, uključujući karijes, bolesti zubnog mesa i druge probleme usne šupljine. Osnova preventivne stomatologije je edukacija pacijenata o važnosti oralne higijene, pravilnoj tehnici četkanja zuba, upotrebi zubnog konca, te redovnim posjetima stomatologu za profesionalno čišćenje i pregled. Cilj je očuvati prirodne zube i oralno zdravije, minimizirati potrebu za invazivnijim dentalnim tretmanima, i poboljšati kvalitetu života. Preventivna stomatologija uključuje i primjenu fluorida, zaštitu zuba metodom “zalijevanja fisura” i nošenje zaštitnih udlaga za sportiste.

Slika nasih usluga

Dječja stomatologija

Dječja stomatologija, poznata i kao pedodoncija, specijalizirana je grana stomatologije koja se bavi oralnim zdravljem djece od rođenja pa sve do adolescencije. Fokusira se na prevenciju, dijagnozu, liječenje i upravljanje različitim oralnim zdravstvenim problemima specifičnim za dječju populaciju. Ova grana stomatologije obuhvata: edukaciju o oralnoj higijeni, preventivne mjere poput aplikacije fluorida, zalijevanje fisura zuba, kao i liječenje zuba zahvaćenih karijesom, te anomalija razvoja zuba, ortodontskih nepravilnosti i liječenje ozljeda. Dječji stomatolozi su obučeni za rad s djecom, pružajući im pristup prilagođen njihovoj dobi i potrebama, čime se stvara pozitivan stav prema oralnom zdravlju i redovnim stomatološkim pregledima.

Slika nasih usluga

Estetska stomatologija

U Bell Dente pružamo kompletan spektar stomatoloških usluga, od preventivne njege do naprednih hirurških zahvata. Naš tim stručnjaka koristi najsavremeniju tehnologiju kako bi vam osigurao zdrav i blistav osmijeh. Bez obzira na vaše potrebe, posvećeni smo pružanju vrhunske njege uz maksimalan komfor.

U Bell Dente pružamo kompletan spektar stomatoloških usluga, od preventivne njege do naprednih hirurških zahvata

Naš tim stručnjaka koristi najsavremeniju tehnologiju kako bi vam osigurao zdrav i blistav osmijeh. Bez obzira na vaše potrebe, posvećeni smo pružanju vrhunske njege uz maksimalan komfor.

Slika nasih usluga

Oralna hirurgija

U Bell Dente pružamo kompletan spektar stomatoloških usluga, od preventivne njege do naprednih hirurških zahvata. Naš tim stručnjaka koristi najsavremeniju tehnologiju kako bi vam osigurao zdrav i blistav osmijeh. Bez obzira na vaše potrebe, posvećeni smo pružanju vrhunske njege uz maksimalan komfor.

U Bell Dente pružamo kompletan spektar stomatoloških usluga, od preventivne njege do naprednih hirurških zahvata

Naš tim stručnjaka koristi najsavremeniju tehnologiju kako bi vam osigurao zdrav i blistav osmijeh. Bez obzira na vaše potrebe, posvećeni smo pružanju vrhunske njege uz maksimalan komfor.

Naš tim

Ordinacija Bell dente osnovana 2013. u Kotor Varošu. Čini je petočlani tim, tri doktora i dvije stomatološke sestre. Dr Lela je u praksi preko dvadeset godina.

Zakažite svoj termin
uz osmijeh i bez brige

Radno vrijeme

Pon-Pet . 08:00-20:00

Subota . 08:00-13:00